What causes ear infections? What is an ear cytology test? What happens when we collect an ear swab sample from your dog or cat? Find out more about the basics of caring for your furkid’s ear health.



Does my dog or cat have an ear infection?
Otitis externa refers to an infection or inflammation (redness and swelling) of the external ear canal. It may either be acute or chronic, i.e. persistent or recurrent. Such ear infections are common in dogs and cats, and sometimes also seen in rabbits. It can affect either one ear or both ears.
Signs of otitis externa include itching, ear scratching, head shaking, pain, a strong unpleasant odour from the ear, and swelling or redness on the underside/hairless part of the ear. If there is a bacterial infection, there may be white thick discharge from the ear.

Cytological evaluation of the ear contents is a simple yet important and informative diagnostic test that helps with the treatment of such ear infections.
An ear cytology test is a simple, quick, routine procedure that is done at the Medical Grooming Centre as well as most veterinary clinics and hospitals in Singapore.
Causes of ear infection in pets
Dogs’ ear canals are L-shaped, which prevents any fluid from draining easily. Fluids may be introduced through activities like showering or swimming. Moreover, the lining of the ear can become inflamed and thickened, blocking air and fluid flow in and out of the canal.
In puppies and kittens, ear mites or otodectes cynotis often cause external ear infections, and can result in thick brown discharge and itch.
As for adult dogs, allergies are one of the most common underlying causes of otitis externa.
Primary factors, which cause infections in healthy ears, include parasites such as ear mites and can be detected with ear sampling.

Secondary factors include bacteria and yeast overgrowth; the most common yeast leading to ear infections is the malassezia pachydermatis. These organisms are often detected by ear sampling and culture.
Predisposing factors of ear infections include food allergies and environmental factors such as humid, moist environments from frequent swimming, bathing, or excessive ear cleaning. There are also systemic conditions to consider — immunosuppression and hypoadrenocorticism are examples — as well as possible obstructions.
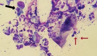
What is an ear cytology?
Ear cytology is a simple, quick, routine procedure that can be used to rule out or identify microbial otic (ear) infection in any animal that presents with the abovementioned signs.
It tells us whether there is a bacterial or yeast infection in the ear causing redness, itchiness, head shaking, and other signs. This can be observed by taking an ear swab sample, which is then stained and checked under the microscope.
From the ear cytology results, our veterinary team will inform the veterinarians, which may include our head vet Dr Esther Lam, of the findings. The veterinarian will then be able to diagnose and recommend a treatment plan for your pet to resolve the ear issue.
Ear cytology is also an invaluable tool in monitoring the progress and response to treatment, and whether further tests may be required.
What happens in ear cytology sampling?
When you send your dog or cat to Paws N’ Claws Veterinary Surgery (Medical Grooming Centre), our professional groomers and veterinary nurses will do a general check of your pet to determine any physical skin or ear issues. They might also ask you questions, such as: “Is your pet itchy at home?”, “Do you notice any scratching?”, “What is your pet’s diet like?”, and “Can we take an ear cytology sample?”
So what do we do when we bring your pet in to collect an ear sample for an ear cytology test?



Our veterinary nurse or technician inserts a clean, dry swab into each ear and rotates it gently to collect material. This is usually painless, unless there is also otitis media (infection of the middle ear).
Next, the swab tips are rolled onto a clean slide gently to transfer the material. The samples are allowed to air dry and then stained. The slides are then carefully scanned under the microscope for cells, larger structures, and bacteria.
If mites are suspect, a second swab is used, with mineral oil applied to that slide. It is also examined under the microscope, without staining.
Fear-Free medical grooming & veterinary care

Ear cytology and other skin diagnostics services are offered at Paws N’ Claws Veterinary Surgery (Medical Grooming Centre) in Singapore.
Paws N’ Claws Veterinary Surgery (Medical Grooming Centre) is led by Dr Esther Lam, a Fear-Free certified veterinarian who prioritises your pet’s emotional and physical well-being.
Our team will work with you and guide you through the steps to make the grooming visit as Fear-Free and pleasant as possible.
To view our latest packages or promotions, click here.
At Paws N’ Claws Veterinary Surgery (Medical Grooming Centre), the professionals involved in your pet’s care include vet nurses, technicians, and medical groomers. Veterinarians also play a part in your pet’s medical grooming care when necessary, such as in diagnosing, consulting, and prescribing medications for conditions such as ear infections.